一颗牙齿断了能修吗
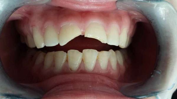
一颗牙齿断了能修吗?其实我们的牙齿并没有我们想象的那么坚强,龋齿,牙石都会让牙齿的健康受伤。日常生活中的意外也会导致牙齿受损。牙齿断裂的原因有很多,无论是龋齿还是意外,总之牙齿的健全功能已经不再,为了自己生活更方便,这时我们需要修补牙齿。

福州同福医口腔医院的医师指出,一般针对还没换牙的儿童来说,牙齿断裂其实大可以不必担心,因为日后儿童还是会再次长恒牙的。对于成年人来说就没有这么幸运了,如果这时延误处理只会导致无法修复。牙齿断掉了可以用美容冠进行修复,我们来具体看一看。
一、传统方式治疗断牙。断掉的牙齿没有咀嚼功能,另外不能对合牙齿容易造成牙齿畸形,传统方式治疗要先拔牙,然后弄假牙来弥补空缺。但是但是随着医疗美容技术的不断发展,断牙怎么修复的问题已经有更好的方法可以解决了。
二、美容冠可以治疗断牙。美容冠基于烤瓷牙的基础上进行了飞跃,不仅能解决多种牙齿问题,还能兼并美观。美容冠可以针对龅牙,虎牙,老鼠牙,地包天,前牙拥挤,前牙稀疏,牙列不齐,牙齿断裂,牙齿缺损,烤瓷失败,错过矫正黄金期的成年人以及重度四环素牙等患者均可以达到好的种类效果。
烤瓷牙可以修复断牙吗
我们知道美容冠是在烤瓷牙基础上的一项延伸,弥补了烤瓷牙的不足,既然美容冠能修复断掉的牙齿,那么烤瓷牙可以修补吗?我们一起看看烤瓷牙的适用人群。

一、牙齿缺失的患者。牙齿缺失的患者可以采取烤瓷牙的方式进行修补,前提是要缺失数目较少,并且邻牙健康,没有炎症,经医生检查可考虑做烤瓷牙修复;另外那些牙列形态异常又不宜做正畸治疗的患者也可以尝试这种办法。
二、牙齿断裂或者断掉的患者。如果还残留有牙根,那么可以进行手术,不过要先根管治疗,方可进行烤瓷牙修复;另外牙齿颜色或形态不佳,如四环素牙等也是可以进行烤瓷牙的。
- 上一篇:没有了
- 下一篇:牙齿掉光了怎么办





拨打电话
回到首页