种植牙直销节:可省近7000元
近日,一度风靡北上广的国际种植牙直销节第五站——福州站开启,凭借高额的补贴力度(每颗补贴4200-6900元),活动迅速引起了缺牙市民的关注,也在业内引发了不小的轰动。
据主办方透露,本次活动是针对中国市场的一个限时推广活动,借此收集种植牙临床数据,为后期植体研发提供更多更全的数据样本。
种植牙直销节补贴细则:
补贴对象:
1、缺牙3颗(含)以上的市民
2、嘴里有无保留意义的松动牙、烂牙根的市民
3、长期佩戴活动假牙、烤瓷牙的市民
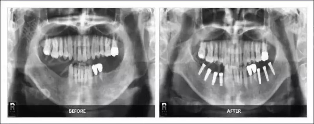
申领要求:申领市民需提供术前术后口腔全景片,如下图所示:(主办方提供当场免费拍片服务)
术前术后口腔全景片例图
申领方式:点击下方咨询图片报名
温馨提示:
1、一个手机号只能领一次
2、名额限500名
“现在大家都知道种植牙好,但是种植牙不便宜,又不属于医保报销范畴,所以并不是每个人都种得起。这次几大国际种植体厂商搞直销,一定程度上填补了医保的空白。”有业内人士告诉记者,“虽然只是阶段性的活动而已,但至少能造福部分目前缺牙的市民。”
四大专场任你挑
混搭种牙更划算
据了解,本次直销节推出了美韩专场、瑞士专场、德国专场、以色列专场等4大专场,并针对半口、全口等多颗牙缺失的市民推出“混搭种植”。据活动技术支持方同福医口腔连锁创始人郑晓玲主任介绍,缺牙多的市民各个缺牙区的牙槽骨骨量不一样,根据牙槽骨宽薄厚窄选取长短粗细不同的植体搭配种植,可以省下部分植骨费用。为支持本次直销节活动,混搭种植免收专家技术费。
马上拔牙马上种
半口牙省下4万多
市民张依伯是本届“种牙直销节”受益人之一,此前上排牙仅剩3个残根,一直靠佩戴活动假牙撑“门面”,这次种了4颗美国牙,4颗瑞士牙,一下子省了4万多,“郑晓玲主任种牙很快,我是马上拔牙马上就种牙,总共不到一个小时就种好了,没什么感觉。”张依伯悄悄告诉记者,郑主任自己嘴里也有一颗美国牙,“医生自己都种这种牙,我们外行人跟着种准没错。”
随种随走很轻松
288元清凉礼包大派送
为助力本次直销节专场活动,现在种牙,可享受免费拍片,免费设计种植方案。还可获赠价值288元夏季清凉大礼包一份。
扫描识别下方二维码,领清凉大礼包
温馨提示:一个手机号只能领一次
在线报名渠道开通
据了解,应广大缺牙市民要求,本次“种植牙直销节”现开通在线报名渠道,免去炎炎夏日排队烦恼,市民可通过以下三种申领补贴:
1. 拨打免费热线400-0591-560领补贴
2.登陆同福医官方网站(www.tongfuyi.com)点击在线咨询报名
温馨提示:
1、一个手机号只能领一次
2、名额限500名
- 上一篇:全民看牙拼多多,看牙低至1块钱
- 下一篇:没有了







拨打电话
回到首页