拔牙一颗多少钱
生活中经常有人被出问题的牙折腾得吃也吃不好,睡也睡不好,坐立难安,这时大多数人会考虑拔牙。说到拔牙,很多人会想问,什么样的牙必须尽快拔除?拔牙一颗多少钱?
必须尽快拔除的牙
1. 智齿,特别是阻生智齿是引起蛀牙、牙周炎、牙列拥挤和冠周炎的重要原因,同时会出现牙龈肿痛、口臭等问题。
2. 滞留的乳牙,有些孩子到了换牙期,恒牙已经萌出,但乳牙仍不肯脱落。这些滞留的乳牙占据了正常牙列的位置,会使恒牙错位萌出,引起牙列错乱。
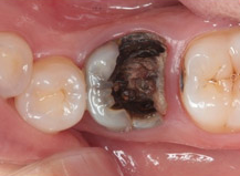
3.严重的蛀牙,蛀到只剩残根,尖锐的边缘刺激周围的口腔黏膜,如颊或舌黏膜。会引起长期、慢性的溃疡,甚至发生癌变,一定要及早拔除。
影响拔牙价格的因素
拔牙一颗通常几十到几百元不等,影响拔牙价格的因素有患者牙病情况、患者的年龄、选择的医院等。
1. 患者牙病情况:患者牙病情况不同,拔牙的价格也会不同。如,有的是拔阻生智齿,由于位置较为特殊,拔牙过程复杂,价格自然也更高。
2. 患者的年龄:小孩拔乳牙价格通常较低,成人拔牙价格则高一些。
3. 选择的医院:因为每个医院采用的设备、医生水平都有很大的差异,很多的医院采用的治疗仪器,在治疗中,使用不同的药物,价格也是不同的。但是,医师在此提醒,在选择拔牙医院时,还是要选择的医院,治疗效果有所保障。
推荐医院
福州同福医口腔连锁延续同福医在闽26年优良学术血统,严格执行"六个一工程"专业规范的消毒流程,确保消毒更规范、更透明;首创“一人一医一诊室”的就诊环境,给您更多尊重,更多舒适!
由于篇幅有限,本文就为大家介绍这么多,如果您还有疑问或想了解更多,可点击在线咨询或者拨打免费热线400-0591-560,届时我院医师将竭诚为您服务!






点击咨询智齿相关问题

点击咨询滞留的乳牙相关问题

点击咨询蛀牙相关问题



拨打电话
回到首页