补牙哪家医院好
口腔患者的孩子来说对于危害极小的补牙也想找一个专业点的医院进行治疗,这样足可以看出现代人对于完美的要求。那么,补牙哪家医院好?
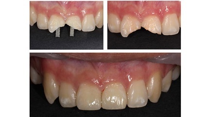
补牙有哪些方法?福州同福医口腔的医师介绍,补牙的方法一般有下面两种:
一、充填法:这是大家较常见的补牙方式,常用于蛀牙的补牙。它是在备好洞后立即充填,但充填前必须先用刺激性小的药物消毒洞底和洞壁。洞底无龋坏牙本质,可用氧化锌丁香油粘固粉盖上一层,再用磷酸锌粘固粉垫一层底,较后用永久性材料(如银汞合金等)充填。
二、期充填法:适用于牙齿洞底含有少量坏死组织的患者,就是先用药物封在洞底,暂时封药后观察7-10天,如果没有任何症状,牙髓活力测试正常的话,再行充填。当然如果封药后有症状出现,根据症状程度判断是否为髓病,再做其他治疗方案。
【福州同福医补牙的优点】
1、福州同福医口腔自创办以来已有26年的口腔历史了,并且在湖东路以及西门都有分店,是福建省较好的口腔医院,也是福州市较专业、较权威的补牙医院。经过26年的积累,在群众中的口碑也是较好的。
2 、同福医口腔拥有专业的补牙医师团队,在同福医口腔里的医生都是有全面的行医证件,还有10年以上的学习和实习经历以及1000例以上的临床成功案例的,他们以精湛娴熟的技术和专业化、个性化口腔理念,为顾客打造较好的牙齿!
美国3M树脂在补牙方面优势:
1、色泽逼真:恢复牙齿自然外形,色泽尤其逼真、有质感。
2、持久性佳:3M独有的纳米技术复合树脂,将牙齿的抛光性和持久性完美结合,抛光和使用的持久性都非常好。
3、超强强度:超出预期的强度和持久性,表面受到摩擦时,牙齿只是磨损到一个纳米级的颗粒,而不会象传统混合微填料那样丢失一个较大的颗粒。
4、安全舒适:3M纳米树脂修复补牙后牙齿感觉向天然牙一样,在口腔内的感觉比传统修复技术更舒适,便于牙齿日常护理与口腔卫生的保健。
5、适用广泛:纳米树脂填充杰出的抗压性和抗张性以及持久性,使它可用于许多方面:垫底、窝沟封闭、和小III类洞、V类洞的充填。









拨打电话
回到首页