牙齿断了补牙多少钱
虽然说现在人们的生活水平是提高了,但是人们的口腔健康问题却是越来越严重了,尤其是成人患者。有些患者的牙齿问题严重到了必须拔牙的地步,而拔完牙就需要进行补牙了,那么福州牙齿断了补牙多少钱?
福州牙齿断了补牙多少钱
1、龋坏程度:如果处于浅龋,可以用消毒剂涂在蛀牙的患处,此时费用相对较低;但如果已经发展为深龋,则需要进行根管治疗,这样的话,费用也就会高些.
2、技术的选择:在修复的时候,选择不同的补牙技术,所需要的钱也不一样.
3、与所选择的补牙材料有关:补牙的材料可以分为好多种,儿童的补牙材料多为玻璃离子,是调拌型的材料,补牙的价格相对成人补牙来说要低一些.而成人的补牙材料多为树脂材料,价格则会贵一些.
4、牙科机构的选择:不同的牙科机构,其收费标准有着较大的区别,因此选择不同的牙科机构,拔牙补牙价格各不相同。

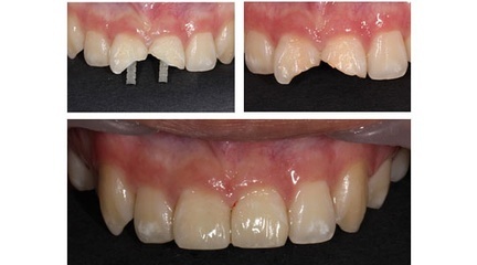
福州同福医口腔的医师介绍,纳米树脂补牙的优势主要体现在下面几个:
一、适用范围广泛:纳米树脂补牙由于具有杰出的抗压性和抗张性以及持久性,因此可以应用在垫底、窝沟封闭、和小III类洞、V类洞的充填。
二、色泽逼真:纳米树脂材料具有很好的透光性,其色泽是较接近自然牙的,因此恢复牙齿自然外形,色泽尤其逼真、有质感。
福州同福医口腔会所延续同福医在闽26年优良学术血统,严格执行"六个一工程"专业规范的消毒流程,确保消毒更规范、更透明; “一人一医一诊室”的就诊环境,给您更多尊重,更多舒适!
由于篇幅有限,本文就为大家介绍这么多,如果您还有疑问或想了解更多,可点击在线咨询或者拨打免费美牙热线400-0591-560,届时我院医师将竭诚为您服务!








拨打电话
回到首页